Maritza B.
Best dental experience! Staff is very caring asking at all times how I was doing. Dr Adly was amazing explaining everything as he was working and very skillful. Clean exam room with a nice view.
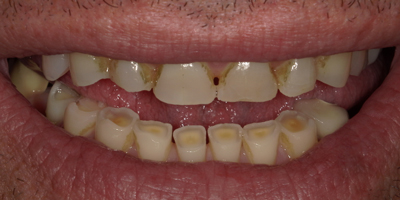
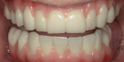
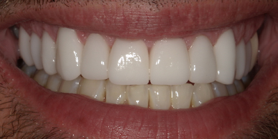
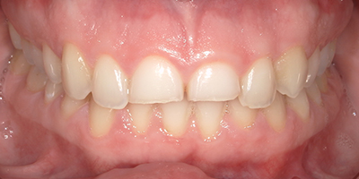
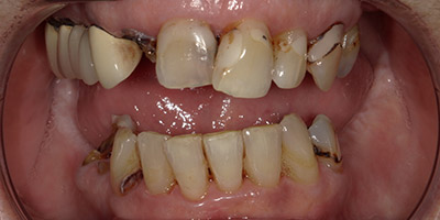
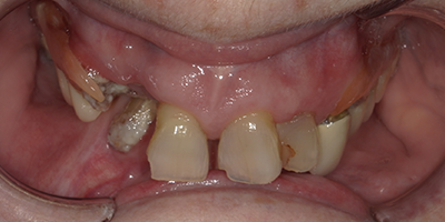
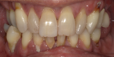
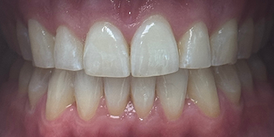
At Monmouth Dental Arts, we hear from patients all the time about what they’d like to change about their appearance. You probably have thought the same thing when you look in the mirror. Now it’s time to do something about it! Browse our Oakhurst smile gallery to find out what’s possible. We’ve transformed the smiles of many patients and can’t wait to help you with yours.
You can also check out our patient testimonials to find out why so many patients love our practice. Then schedule an appointment by calling 732-686-6337 today. Before you know it, you’ll be part of our smile gallery too!
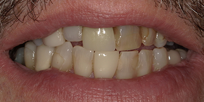
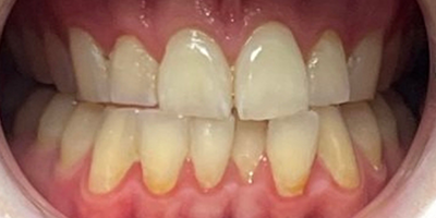
Before
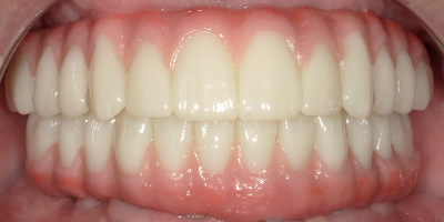
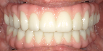
After
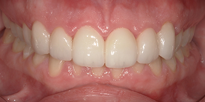
Before
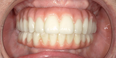
After
Before
After
Before
After
Before
After
Before
After
Before
After
Before
After
Before
After
Before
After
Before
After
Before
After
Before
After
Before
After
Before
After
Before
After
Before
After
Before
After
Before
After
Before
After
Before
After
Before
After
Before
After
Before
After
Before
After
Before
After
Before
After
Before
After
Before
After
Before
After
Before
After
Before
After
Before
After
Before
After
Before
After
Before
After
Before
After
Before
After
Before
After
Before
After
Before
After
Before
After
Before
After
Before
After
Before
After
Before
After
Before
After
Before
After
Before
After
Before
After
Before
After
Before
After
Before
After
Before
After
Before
After
Before
After
Before
After
Before
After
Before
After
Before
After
Before
After
Before
After
Before
After
Before
After
Before
After
Before
After